. implantologie
. Was ist ein Implantat?
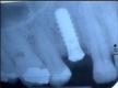
Ein Implantat ist ein künstlicher Zahnersatz. Es ist zumeist ein zylinderförmiger Metallstift aus Titan oder Keramik, der in den Kieferknochen eingesetzt wird. Dabei entsteht nach einer gewissen Einheilungsphase eine starre Implantat - Knochenverbindung. Titan ist ein äußerst gewebeverträgliches Material (biokompatibel, keine allergischen Reaktionen bekannt) und wird z.B. auch in der Orthopädie (z.B. künstliche Hüfte) erfolgreich eingesetzt.
. Wann ist ein Implantat zu empfehlen?
Immer dann, wenn ein bzw. mehrere Zähne verloren gegangen sind, z.B. durch Sturz, erfolglose Wurzelbehandlung, massive Karies, Zahnextraktion, altersbedingt ...)
Man unterscheidet zwischen:
.) Einzelzahnverlust
.) Verlust mehrerer Zähne (verkürzte Zahnreihe)
.) Zahnloser Kiefer
Das Implantat kann dabei jeden Zahn einzeln ersetzen oder auch als Verankerung für Brücken oder Prothesen dienen. Ein wesentlicher Vorteil liegt darin, daß keine gesunden Nachbarzähne abgeschliffen werden müssen und der Knochenschwund (Resorption) verlangsamt werden kann. Implantate leiten die Kaukräfte wie Zähne in den Knochen, dadurch erhalten sie den Kieferknochen und das Zahnfleisch.
Implantate bringen dadurch ein Festigkeitsgefühl wie bei natürlichen Zähnen.

